Cabinet dentaire du Dr SPEISSER
Chirurgien-Dentiste à Molsheim (67) près de Strasbourg
Accueil
Le cabinet
Plan d'accès
Urgences
Fiches conseils
Contactez nous
Chirurgien-Dentiste à Molsheim (67) près de Strasbourg
Cabinet dentaire du Dr SPEISSER
7 rue des Vosges
67120
MOLSHEIM
+33 3 88 38 11 29
Accueil
Le cabinet
Plan d'accès
Urgences
Fiches conseils
Contactez nous
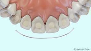
Fil de contention
Vidéos 3D
Partager
Twitter
Partager
Partager
Envoyer
Copier
Cabinet dentaire du Dr SPEISSER
7 rue des Vosges
67120
MOLSHEIM
+33 3 88 38 11 29
Conditions Générales Utilisation
Mentions légales
Politique de confidentialité et charte cookie
Charte déontologique
Ordre national
Annuaires chirurgiens dentistes
Lundi
8h - 12h
,
14h - 18h
Mardi
8h - 12h
,
14h - 18h
Mercredi
8h - 12h
Jeudi
8h - 12h
Vendredi
8h - 12h
,
14h - 18h
Samedi
Fermé
Dimanche
Fermé
Rechercher dans le blog Blog
Création par
Connexion
Vidéo en cours de lecture