Cabinet dentaire du Dr SPEISSER
Chirurgien-Dentiste à Molsheim (67) près de Strasbourg

L'orthodontie - Page 3

Prévention : scellement de sillons chez l'enfant

Prévention : scellement de sillons chez l'enfant

Orthodontie : idées reçues, idées revues

Orthodontie : idées reçues, idées revues

L'orthodontie : une affaire de spécialistes

L'orthodontie : une affaire de spécialistes

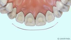
Fil de contention

Fil de contention

Conséquence de la perte des dents postérieures

Conséquence de la perte des dents postérieures

Traitement multi-attaches

Traitement multi-attaches

Affichage des articles 13-18 sur 20

Création par Webdentiste

Connexion